Willkommen
herzlich Willkommen beim Ultraschall-Campus.
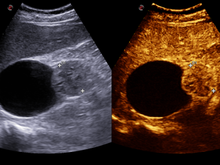
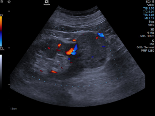
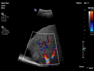
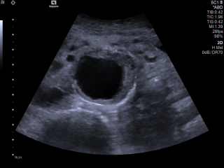
Die Ultraschalldiagnostik ist in allen Bereichen der Medizin eine der wesentlichen Säulen der bildgebenden Diagnostik und ist ein essentieller Bestandteil der täglichen Routine. Diese bildgebende Technik gehört zu der am schnellsten wachsenden Verfahren in der Medizin. Der medizinische Ultraschall, liefert in vielen Bereichen beeindruckende Fortschritte und führt zu einer Steigerung des aktuellen Wissens über moderne Diagnose- und Interventionstechniken. Für eine optimale Vorbereitung auf diesen Entwicklungstrends, Bedarfs es einer kontinuierlichen Aus- und Weiterbildung.
Unter der Leitung von Prof. Dr. D.-A. Clevert, der als DEGUM-Stufe III-Seminarleiter die Kurse nach den DEGUM-Richtlinien durchführt, finden unsere Ultraschallkurse am Klinikum Großhadern in München bereits seit über 15 Jahren statt. Die Ultraschallseminare werden in Zusammenarbeit mit der Akademie für ärztliche Fortbildung der Bayerischen Landesärztekammer (BLÄK) und der DEGUM durchgeführt.
Zu unserer renommierten nationalen Fakultät, gehören Priv.-Doz. Dr. K. Stock (DEGUM-Stufe III-Seminarleiter, Innere Medizin), Dr. H.P. Weskott (DEGUM-Stufe III-Seminarleiter, Innere Medizin) und Priv.-Doz. G. Meimarakis (DEGUM-Stufe III-Seminarleiter, Chirurgie). Die Kollegen sind bekannt für ihre umfangreichen Erfahrungen und Beiträge in der diagnostischen- als auch interventionellen Sonographie. Sie werden den Teilnehmern eine Fülle von praktischen Kenntnissen vermitteln, die sie sofort in ihrer Praxis anwenden können. Didaktische Vorträge, die alle primären Anwendungen und die neuesten wissenschaftlichen Erkenntnisse abdecken, werden durch praktische Übungen oder interaktive Fallbesprechungen während den Workshops und den Kursen verstärkt.
Während des Kurses gibt es Zeit für ein individuelles Training an den US-Geräten und für die Arbeit an klinischen Fällen - von leicht bis schwierig zu interpretierenden Fällen.
Die Übungsgruppen bestehen aus 5 Teilnehmern, die in den Grundkursen an Models und in den Folgekursen (Aufbaukurs) an Patienten ihre Untersuchungstechnik und -strategie erlernen.
Wir hoffen, dass Sie von der Teilnahme an diesem Kursen profitieren werden, und die erworbenen Kenntnisse erfolgreich in der klinischen Routine einsetzten können.
Wir freuen uns auf Ihr Kommen und werden alles dafür tun, dass Sie in entspannter und kollegialer Atmosphäre eine anregende und spannende Zeit mit uns verbringen.
Wir wünschen Ihnen einen angenehmen und informativen Aufenthalt in München.










 
 
